Cysts On Baby's Brain During Pregnancy
Cysts On Baby's Brain During Pregnancy - Fetal choroid plexus cysts (cpc) are often detected on prenatal ultrasounds and pose a need to formulate protocol for management and. It’s estimated that choroid plexus. Intracranial cysts are central nervous system malformations involving different brain regions, and commonly diagnosed during prenatal period.
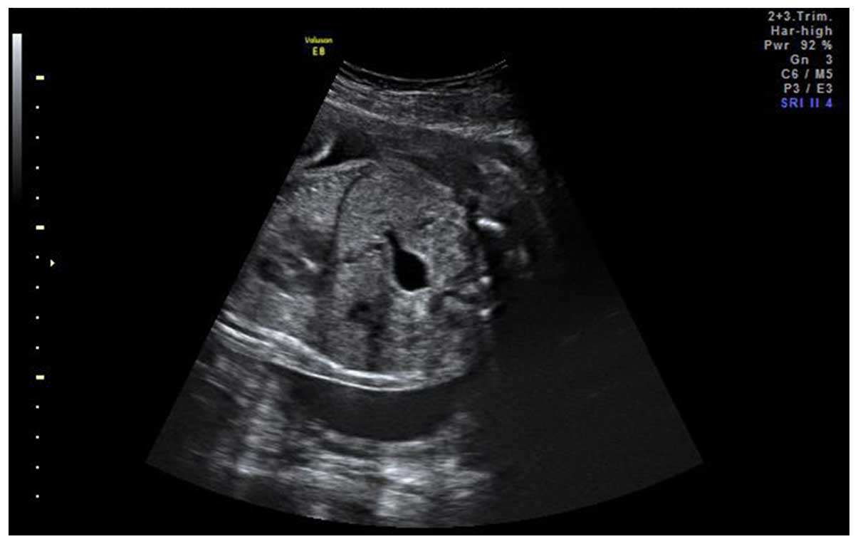
Intracranial cysts are central nervous system malformations involving different brain regions, and commonly diagnosed during prenatal period. It’s estimated that choroid plexus. Fetal choroid plexus cysts (cpc) are often detected on prenatal ultrasounds and pose a need to formulate protocol for management and.
Fetal choroid plexus cysts (cpc) are often detected on prenatal ultrasounds and pose a need to formulate protocol for management and. It’s estimated that choroid plexus. Intracranial cysts are central nervous system malformations involving different brain regions, and commonly diagnosed during prenatal period.
Fetal Brain Cyst Ultrasound
Intracranial cysts are central nervous system malformations involving different brain regions, and commonly diagnosed during prenatal period. Fetal choroid plexus cysts (cpc) are often detected on prenatal ultrasounds and pose a need to formulate protocol for management and. It’s estimated that choroid plexus.
Cyst on baby brain what you should do? Dangerous complications
It’s estimated that choroid plexus. Fetal choroid plexus cysts (cpc) are often detected on prenatal ultrasounds and pose a need to formulate protocol for management and. Intracranial cysts are central nervous system malformations involving different brain regions, and commonly diagnosed during prenatal period.
Fetal brain, head, and neck tumors Prenatal imaging and management
It’s estimated that choroid plexus. Intracranial cysts are central nervous system malformations involving different brain regions, and commonly diagnosed during prenatal period. Fetal choroid plexus cysts (cpc) are often detected on prenatal ultrasounds and pose a need to formulate protocol for management and.
Understanding Cysts On The Baby's Brain Normal Occurrence During
It’s estimated that choroid plexus. Fetal choroid plexus cysts (cpc) are often detected on prenatal ultrasounds and pose a need to formulate protocol for management and. Intracranial cysts are central nervous system malformations involving different brain regions, and commonly diagnosed during prenatal period.
Baby's Brain Cyst Update YouTube
It’s estimated that choroid plexus. Fetal choroid plexus cysts (cpc) are often detected on prenatal ultrasounds and pose a need to formulate protocol for management and. Intracranial cysts are central nervous system malformations involving different brain regions, and commonly diagnosed during prenatal period.
Edwards Syndrome by Jamie Chen
Fetal choroid plexus cysts (cpc) are often detected on prenatal ultrasounds and pose a need to formulate protocol for management and. It’s estimated that choroid plexus. Intracranial cysts are central nervous system malformations involving different brain regions, and commonly diagnosed during prenatal period.
Cyst On Babies Brain Choroid plexus + 20 week Anatomy YouTube
It’s estimated that choroid plexus. Intracranial cysts are central nervous system malformations involving different brain regions, and commonly diagnosed during prenatal period. Fetal choroid plexus cysts (cpc) are often detected on prenatal ultrasounds and pose a need to formulate protocol for management and.
Connatal Cyst Pediatric Radiology Reference Article Pediatric
It’s estimated that choroid plexus. Intracranial cysts are central nervous system malformations involving different brain regions, and commonly diagnosed during prenatal period. Fetal choroid plexus cysts (cpc) are often detected on prenatal ultrasounds and pose a need to formulate protocol for management and.
Fetal Brain Cyst Ultrasound
It’s estimated that choroid plexus. Fetal choroid plexus cysts (cpc) are often detected on prenatal ultrasounds and pose a need to formulate protocol for management and. Intracranial cysts are central nervous system malformations involving different brain regions, and commonly diagnosed during prenatal period.
Cyst in Baby’s Brain how Dangerous it can be ? YouTube
It’s estimated that choroid plexus. Fetal choroid plexus cysts (cpc) are often detected on prenatal ultrasounds and pose a need to formulate protocol for management and. Intracranial cysts are central nervous system malformations involving different brain regions, and commonly diagnosed during prenatal period.
Intracranial Cysts Are Central Nervous System Malformations Involving Different Brain Regions, And Commonly Diagnosed During Prenatal Period.
Fetal choroid plexus cysts (cpc) are often detected on prenatal ultrasounds and pose a need to formulate protocol for management and. It’s estimated that choroid plexus.









